Αισθητική Οδοντιατρική

Μαρία Κ. Χατζησταύρου Doctor of Dental Surgery, MSc Οδοντίατρος - Ειδικός Προσθετολόγος Επ. Συνεργ. Παν. North Carolina Chapel Hill, ΗΠΑ

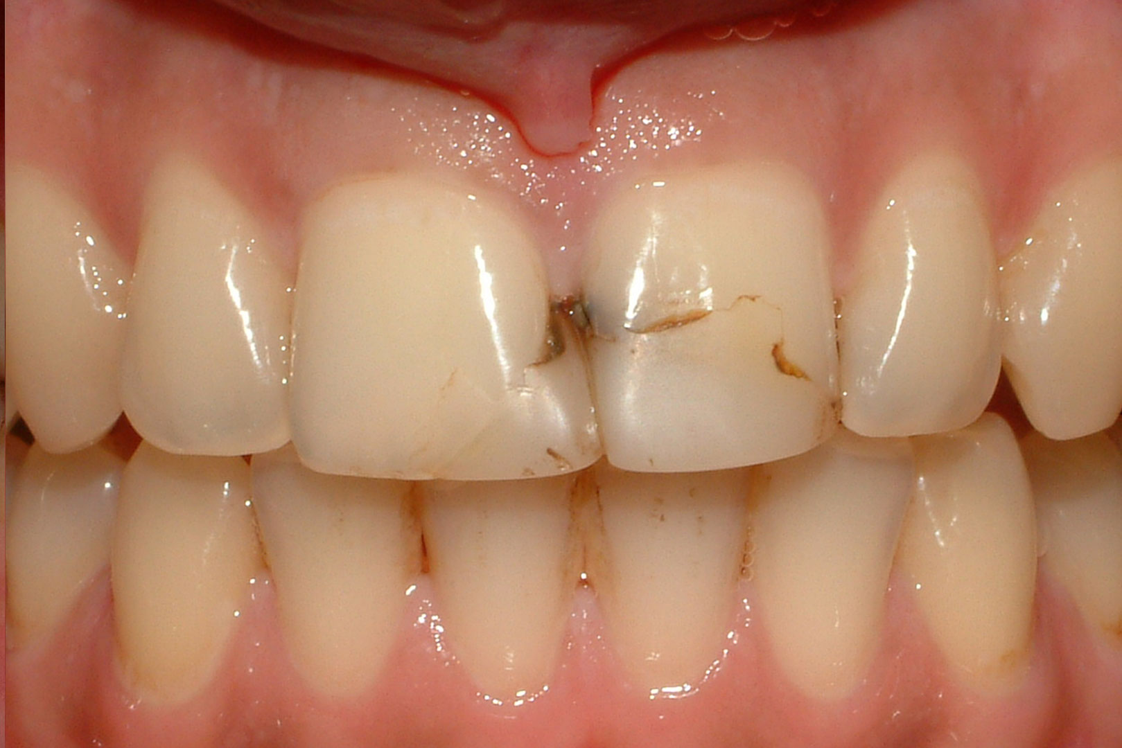
Η Αισθητική Οδοντιατρική εστιάζει στη βελτίωση της αισθητικής του χαμόγελου και στην εναρμόνισή του με τρόπο φυσικό με τα υπόλοιπα ανατομικά χαρακτηριστικά του προσώπου. Με συντηρητικές και επιστημονικά τεκμηριωμένες διεργασίες μπορούμε να παρέμβουμε στο χρώμα, στο σχήμα, στο μέγεθος των δοντιών, ακόμη και στη σχετική θέση αυτών και να πετύχουμε ένα λαμπερό χαμόγελο. Η Αισθητική Οδοντιατρική περιλαμβάνει διαδικασίες όπως η λεύκανση του οδοντικού φραγμού,  η κατασκευή άμεσων αποκαταστάσεων χωρίς την παρεμβολή του οδοντικού τεχνολόγου (όψεις ρητίνης ή εμφράξεις  συνθέτου ρητίνης) καθώς και η κατασκευή έμμεσων αποκαταστάσεων (όψεις πορσελάνης ή κεραμικά ένθετα-επένθετα). Άλλες λιγότερο κι άλλες περισσότερο επεμβατικές διαδικασίες, ωστόσο όλες επιστημονικά ασφαλείς, συμβάλλουν τη βελτίωση της αισθητικής του χαμόγελου και της αυτοπεποίθησης του ατόμου.

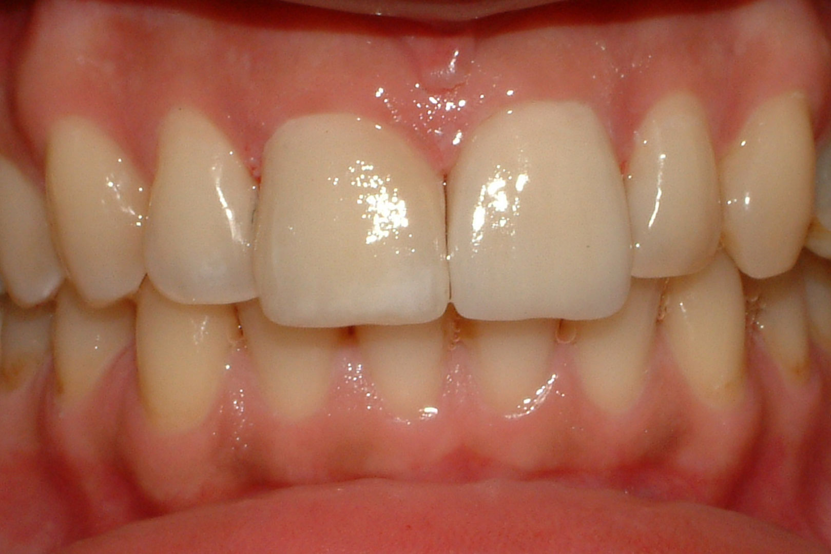
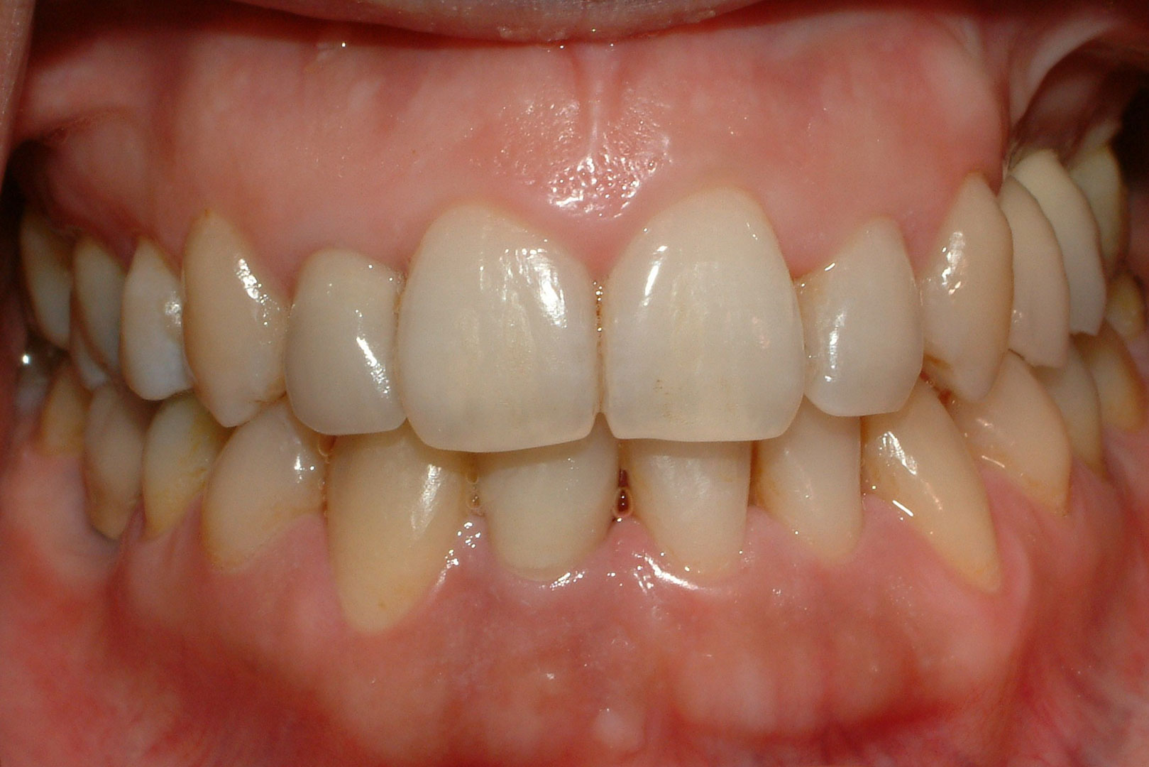
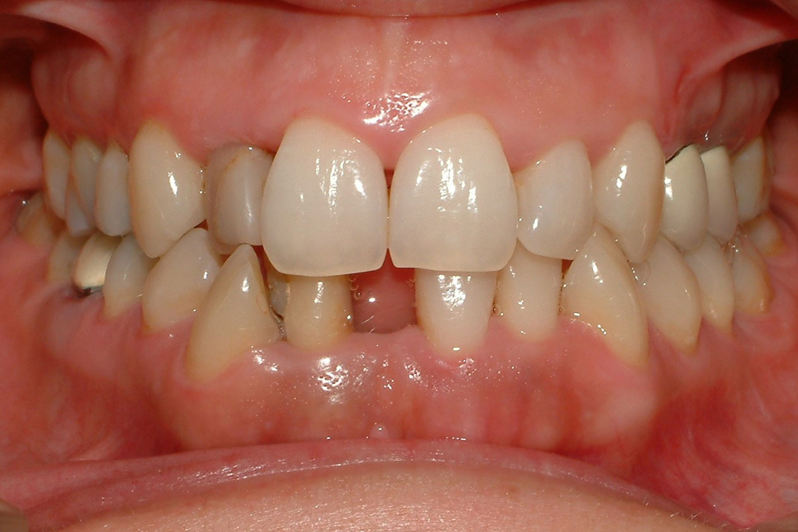
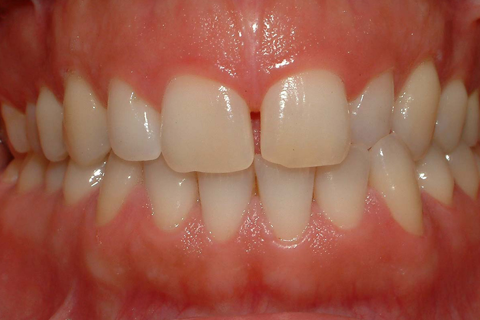
Κλινικά Περιστατικά